ГОСТ Р 57631-2017/IEC/TS 62791:2015 ТЕХНИКА УЛЬТРАЗВУКОВАЯ. СКАНЕРЫ ЭХО-ИМПУЛЬСНЫЕ. СЛАБООТРАЖАЮЩИЕ СФЕРИЧЕСКИЕ ФАНТОМЫ И МЕТОДЫ ИСПЫТАНИЙ ДЛЯ МОНОХРОМНЫХ МЕДИЦИНСКИХ УЛЬТРАЗВУКОВЫХ АППАРАТОВ, ПРИМЕНЯЕМЫХ С ДАТЧИКАМИ РАЗЛИЧНЫХ ТИПОВ
Ultrasonics. Pulse-echo scanners. Low-echo sphere phantoms and method for performance testing of gray-scale medical ultrasound scanners applicable to a broad range of transducer types
ОКС 11.040.55
Предисловие
1 Подготовлен Обществом с ограниченной ответственностью "Научно-технический центр "МЕДИТЭКС" (ООО "НТЦ "МЕДИТЭКС") на основе собственного перевода на русский язык англоязычной версии документа, указанного в пункте 4
2 Внесен Техническим комитетом по стандартизации ТК 011 "Медицинские приборы, аппараты и оборудование"
3 Утвержден и введен в действие Приказом Федерального агентства по техническому регулированию и метрологии от 29 августа 2017 г. N 976-ст
4 Настоящий стандарт идентичен международному документу IEC/TS 62791:2015 "Техника ультразвуковая. Сканеры эхо-импульсные. Слабоотражающие сферические фантомы и методы испытаний для монохромных медицинских ультразвуковых аппаратов, применяемых с датчиками различных типов" (IEC/TS 62791:2015 "Ultrasonics - Pulse-echo scanners - Low-echo sphere phantoms and method for performance testing of gray-scale medical ultrasound scanners applicable to a broad range of transducer types", IDT).
При применении настоящего стандарта рекомендуется использовать вместо ссылочных международных стандартов соответствующие им национальные стандарты, сведения о которых приведены в дополнительном приложении ДА
5 Введен впервые
6 Международная электротехническая комиссия (МЭК) обращает внимание на тот факт, что соблюдение настоящего стандарта может подразумевать использование патентов США 5.574.212 и 8.887.552, касающихся "Автоматизированной системы и метода испытания ультразвуковых сканеров на разрешение" и "Ультразвуковых фантомов с криволинейной поверхностью", приведенных в 8.2 и 8.3, а также приложениях А и D соответственно.
МЭК не дает никаких комментариев относительно доказательства, действительности и области применения данных прав на патенты.
Владелец права на патент заверил МЭК в том, что он/она готовы обсуждать с заявителями по всему миру вопрос о выдаче лицензий на разумных и недискриминационных условиях. В связи с этим заявление обладателя патентных прав регистрируется в МЭК. Информацию по данному вопросу можно получить по следующему адресу:
Исследовательский фонд выпускников Университета штата Висконсин (Wisconsin Alumni Research Foundation),
Уолнат-стрит (Walnut Street) 614, 13 этаж,
Мэдисон (Madison), WI 53726,
США
Введение
Настоящий стандарт обобщает требования к фантому с целью определения вероятности обнаружения по отношению к слабоотражающим (кистоподобным) объектам для любых типов эхо-импульсных датчиков, за исключением (возможно) 20-датчиков со сферической поверхностью решетки. Ультразвуковые эхо-импульсные сканеры находят широкое применение в медицинской практике для получения изображений мягких тканей всего организма человека. С помощью большинства ультразвуковых эхо-импульсных сканеров получают изображения тканей в плоскости сканирования в режиме реального времени путем пропускания узкого импульсного ультразвукового луча через исследуемый срез ткани и выявления эхосигналов, генерируемых за счет отражения на границах ткани и рассеяния в тканях. Как правило, сканирование, формирующее кадр изображения, повторяется не менее 20 раз в секунду, что приводит к отображению изображения в режиме реального времени. Как правило, оси импульсных лучей лежат в плоскости сканирования.
Для работы в режиме передачи/приема с целью генерации/обнаружения ультразвуковых сигналов применяют различные типы датчиков. Линейные решетки, в которых оси всех лучей параллельны друг другу, что в результате приводит к формированию прямоугольного изображения, состоят из сотен параллельных преобразовательных элементов с подмножеством смежных элементов, производящих импульсы поочередно. Конвексные решетки схожи с линейными, но часть поверхности в результате расположения элементов имеет форму короткого прямого цилиндра с круглым сечением, при этом элементы решетки расположены параллельно оси цилиндра. Радиус кривизны цилиндра (и, следовательно, решетки) может иметь значения от 0, 5 до 7 см. Конвексная решетка формирует секторное изображение, поскольку оси луча расходятся веером над плоскостью сканирования. Фазированная решетка имеет линейное расположение элементов, при котором все элементы действуют вместе, формируя импульс, а направление и фокус излучаемого импульса определены временными характеристиками возбуждения элементов. Фазированная решетка формирует секторное изображение. Другим типом секторного сканера является механический секторный сканер, в котором одноэлементный датчик или датчик с кольцевой решеткой во время импульсных эмиссий вращается вокруг неподвижной оси. Все описанные выше типы датчиков обычно работают в диапазоне частот от 2 до 15 МГц, к которому и применяется настоящий стандарт.
2-мерная (2D) решетка ограничивается рядом элементов датчика, распределенных на площади квадрата или сферического сегмента. Такая решетка принимает отраженные от трехмерного объема сигналы и может формировать изображения, соответствующие любой плоской поверхности, расположенной в этом объеме. В механических 3D-датчиках с конвексной решеткой (конвексная решетка 3D MD) конвексная решетка сканирует изображение при механическом вращении вокруг оси, лежащей в плоскости изображения или на продолжении этой плоскости. Механический 3D-датчик с линейной решеткой (линейная решетка 3D MD) аналогичен датчику с конвексной решеткой 3D MD, в котором радиус кривизны решетки бесконечен, а сама решетка или вращается вокруг оси, или поступательно перемещается перпендикулярно плоскости сканирования линейной решетки. Обзор существующих 3D- и 4D-систем приведен в 1.5 и 10.2.2 [1].
Одним из средств испытаний системы визуализации ультразвукового эхо-импульсного сканера является количественное определение степени отличия мелкого кистоподобного (слабоотражающего) объекта от окружающей мягкой ткани, т.е. степени отличия, при которой мелкий кистоподобный (слабоотражающий) объект может быть выявлен в окружающей мягкой ткани. Разумно предположить, что чем меньше слабоотражающая сфера, выявляемая в определенном положении, тем лучше разрешение сканера, т.е. тем лучше он очертит границы аномального объекта, например опухоли. В ультразвуковых эхо-импульсных сканерах выделяют три компонента пространственного разрешения:
- осевое разрешение (параллельно направлению распространения местного импульса);
- поперечное разрешение (перпендикулярно направлению распространения местного импульса и параллельно плоскости сканирования);
- разрешение по толщине (перпендикулярно направлению распространения местного импульса и плоскости сканирования).
Осевое разрешение обычно, но не всегда выше, чем поперечное разрешение и разрешение по толщине. Поэтому всем трем компонентам должно придаваться равное значение при оценке вероятности обнаружения. Сфера не имеет предпочтительной ориентации и поэтому является наилучшей формой для кистоподобного объекта по двум причинам. Во-первых, всем трем компонентам разрешения придается равный вес, вне зависимости от направления падения луча. Во-вторых, направление распространения падающего луча в случае использования конвексной и фазированной решеток будет существенно варьироваться в зависимости от того, где именно находится объект в отображаемом объеме.
Важно, чтобы фантом позволял провести количественную оценку вероятности обнаружения в пределах всего отображаемого диапазона глубин; таким образом, важно, чтобы слабоотражающие сферы имелись практически во всем окне сканирования. Фантом, ограниченный плоской поверхностью сканирования, приемлем для линейной решетки, фазированной решетки или плоской 2D-решетки, но не для остальных типов решетки. Каждый из фантомов, описанных в настоящем стандарте, содержит на всех глубинах распределенные по случайному закону слабоотражающие сферы равного диаметра [2], это также относится к фантомам, разработанным для испытаний конвексных (криволинейных) решеток.
Настоящий стандарт является прямым применением IEC/TS 62791, являющегося техническим описанием, подготовленным техническим комитетом МЭК 87 "Ультразвук".
Текст международного документа основан на следующих документах:
|
Проект TS |
Отчет о голосовании |
|
87/554/DTS |
87/570/RVC |
Полную информацию о голосовании по утверждению международного документа можно найти в отчете о голосовании, который указан в приведенной выше таблице.
Редакция международного документа подготовлена в соответствии с Директивами ИСО/МЭК, часть 2.
Термины, выделенные жирным шрифтом, определены в разделе 3.
Настоящий стандарт определяет термины и устанавливает методы количественной оценки качества формирования изображений ультразвуковыми сканерами В-режима, работающими в режиме реального времени. В данных сканерах используются датчики следующих типов (см. 7.6 и 10.7 [1]):
a) датчики с фазированными решетками;
b) датчики с линейными решетками;
c) датчики с конвексными решетками;
d) механические секторные датчики;
e) 3D-датчики, работающие в режиме формирования 2D-изображения (см. приложение К);
f) 3D-датчики, работающие в режиме формирования 3D-изображения для ограниченного числа наборов реконструированных 3D-изображений (см. приложение К).
Методика испытания применима к датчикам, работающим в диапазоне частот от 2 до 15 МГц.
В настоящем стандарте использованы нормативные ссылки на стандарты и другие нормативные документы, которые необходимо учитывать при его использовании. Для датированных ссылок применяют только указанные издания. Для недатированных ссылок применяют самые последние издания (включая любые изменения и поправки).
IEC 60050-802, International Electrotechnical Vocabulary - Part 802: Ultrasonics (Международный электротехнический словарь. Часть 802. Ультразвук) (доступен на http://www.electropedia.org/)
IEC 61391-1* Ultrasonics - Pulse-echo scanners - Part 1: Techniques for calibrating spatial measurement systems and measurement of system point-spread function response (Ультразвуковая техника. Сканеры, работающие по принципу отраженных импульсов. Часть 1. Методы калибрования пространственных измерительных систем и измерения характеристики функции рассеяния точки системы)
──────────────────────────────
* В тексте IEC/TS 62736:2016 ошибочно применена недатированная ссылка: должна быть ссылка на IEC 61391-1:2006.
IEC 61391-2:2010, Ultrasonics - Pulse-echo scanners - Part 2: Measurement of maximum depth of penetration and local dynamic range (Ультразвуковая техника. Сканеры, работающие по принципу отраженных импульсов. Часть 2. Измерение максимальной глубины проникновения и локального динамического диапазона)
В настоящем стандарте использованы термины и определения, приведенные в МЭК 60050-802, МЭК 61391-1, в том числе следующие термины с соответствующими определениями:
3.1 активная рабочая поверхность датчика (active area of a transducer): Поверхность, на которой распределены излучающие/приемные элементы датчика.
3.2 коэффициент обратного рассеяния; BSC (backscatter coefficient; BSC): Внутреннее свойство материала при определенной частоте, равное дифференциальному сечению рассеяния на единицу объема при угле рассеяния 180°*.
──────────────────────────────
* Коэффициент обратного рассеяния равен отношению акустической мощности, рассеянной под углом 180° к направлению падающего пучка в единичном объеме, к интенсивности падающего пучка в соответствии с ГОСТ Р 55717-2013.
Примечание - См. [4], [5], [6].
[МЭК 61391-1:2006, 3.6]
3.3 слабоотражающая сфера (low-echo sphere): Сферическое включение в фантоме с коэффициентом обратного рассеяния немного меньшим, чем соответствующее значение для окружающего тканеимитирующего материала.
Примечание - Все слабоотражающие сферы в фантоме имеют одинаковый диаметр с допустимым отклонением ± 1 %.
3.4 диаметр слабоотражающей сферы; D (low-echo sphere diameter; D): Диаметр слабоотражающих включений в фантоме.
Примечание - Обычно считается, что все слабоотражающие сферы в конкретном фантоме имеют одинаковый диаметр D. Допустимое отклонение диаметра составляет ± 1 %.
3.5 пиксель (pixel): Наименьший размер пространственного элемента или ячейки представления изображения в виде цифровой 2-мерной матрицы.
Примечание 1 - Каждый пиксель имеет адрес, соответствующий его положению в матрице.
Примечание 2 - Пиксель - сокращение термина "элемент изображения" (picture element).
[МЭК 61391-1:2006, 3.23]
3.6 значение пикселя (pixel value): Целочисленное значение уровня обработанного сигнала или целочисленные значения обработанных уровней цвета, выводимых на дисплей для конкретного пикселя.
Примечание - В дисплее со шкалой в оттенках серого значение пикселя преобразуется в яркость согласно определенной, обычно монотонной, функции. Целочисленные значения, представляющие шкалу серого, изменяются от 0 (черный) до 2(М-1) (белый), где М представляет собой положительное целое, обычно называемое битовой глубиной. Таким образом, если М = 8, наибольшее значение пикселя в множестве составит 255.
3.7 оцифрованные данные изображения (digitized image data): Двухмерный набор значений пикселей, полученный в результате формирования ультразвукового изображения из ультразвуковых эхосигналов.
3.8 среднее значение пикселя; MPV (mean pixel value; MPV): Среднее значение пикселей, установленное на площади А изображения фантома, где А - некоторая площадь, меньшая, чем площадь круга с диаметром D.
Примечание 1 - Выражение "некоторая площадь, меньшая чем" введено в качестве частичной компенсации за эффект частичного объема в измерении по толщине [3].
Примечание 2 - Эффект частичного объема - термин, широко принятый в компьютерной томографии (КТ) и магнитно-резонансной томографии (МРТ), означающий, что если объект менее толщины среза, то сигнал будет включать вклад со стороны этого объекта и со стороны окружающего его материала. Например, если объект представляет собой сферу, то вклад в сигнал будет вноситься со стороны окружающего эту сферу материала, условно - это цилиндр с радиусом, равным радиусу сферы, перпендикулярным срезу. В случае с ультразвуком срез соответствует профилю луча, проходящего по толщине.
3.9 интервал глубины (depth interval): Размер сегментов изображения по глубине, на которые делится область изображения для вычисления значений ОСШС в зависимости от глубины.
Примечание 1 - Опыт определения значений ОСШС в различных случаях привел к заключению о том, что для фантомов, содержащих слабоотражающие сферы диаметром 3, 2 и 4 мм, достаточным является интервал глубины в 5 мм, а для фантомов, содержащих слабоотражающие сферы диаметром 2 мм, - интервал глубины в 2 мм.
Примечание 2 - Максимальная глубина (глубина поля) представляет собой сумму набора соседних интервалов глубины; таким образом, если глубина поля составляет 14 см и каждый интервал глубины охватывает 5 мм = 0, 5 см, то число интервалов глубины составит 14 см/0, 5 см = 28.
Примечание 3 - Прямоугольная площадь сканирования будет разделена на горизонтальные полосы; площадь секторного сканирования будет разделена на угловые сегменты кольца, в которых угловые границы определяются углом сектора (см. рисунок В.2 d). Вертикальная проекция этих сегментов площади в направлении по толщине будет создавать сегменты объема, аналогичные блокам и частичным цилиндрическим оболочкам толщиной, равной интервалу глубины соответственно.
Примечание 4 - Интервал глубины выражается в миллиметрах, мм.
3.10 вероятность обнаружения (detectability): Численное значение, количественно определяющее вероятность того, что наблюдающий человек обнаружит объект на изображении с точечным шумовым фоном (спеклами).
3.11 отношение сигнал/шум в области поражения тканей для n-ной слабоотражающей сферы; ОСШn (lesion signal-to-noise ratio for the n-th low-echo sphere; LSNRn): Численное значение, количественно определяющее вероятность обнаружения в фантоме в макроскопически однородном окружающем фоновом материале макроскопически однородной слабоотражающей сферы с центром в сегменте объема, ограниченном заданным интервалом глубины.
Примечание - Слабоотражающие сферы с центрами, расположенными на расстоянии менее 2D от боковой границы изображения, исключаются.
3.12 среднее отношение сигнал/шум в области поражения тканей; ОСШС (mean lesion signal-to-noise ratio; LSNRM): Среднее значение отношений сигнал/шум в областях поражения тканей для слабоотражающих сфер, центры которых лежат в сегменте объема, ограниченном заданным интервалом глубины в фантоме.
Примечание - Слабоотражающие сферы с центрами, расположенными на расстоянии менее 2D от боковой границы изображения, исключаются.
|
Символ |
Значение |
Пункт |
|
А |
Площадь на плоскости изображения, выбранная для вычисления MPV |
3.8 |
|
BSCobj, BSCbkg |
Коэффициент обратного рассеяния |
3.2 |
|
D |
Диаметр слабоотражающей сферы |
3.4 |
|
d |
Целое число для вычисления интервалов глубины |
Е.1 |
|
i, j, k |
Целые числа, соответствующие рядам, столбцам и направлению по толщине кубической решетки соответственно |
8.2 |
|
i (в приложении F) |
Коэффициент, принимающий значения 1 или 2, указывающие на ту или другую сторону фантома, на которой расположен отражатель |
Формула (F.1) |
|
ОСШС |
Среднее отношение сигнал/шум в области поражения тканей |
3.12 |
|
ОСШn |
Отношение сигнал/шум в области поражения тканей для n-ной слабоотражающей сферы |
3.11 |
|
Md |
Среднее всех MPV с центрами, лежащими в пределах сегмента объема d, с использованием всего набора изображений |
Е.1 |
|
MPV |
Среднее значение пикселя |
3.8 |
|
(MPV)ijk |
MPV в точках ijk кубической решетки |
8.2 |
|
(MPV)n = SLn |
MPV, рассчитанное на площади А с центром в проекции (xCMn, yCMn) на плоскость изображения, ближайшей к zCM |
8.2 |
|
N |
Общее число выявленных слабоотражающих сфер с центрами в сегменте объема, ограниченном интервалом глубины (включая все кадры изображений) |
8.3.2 |
|
n |
Целое число для подсчета слабоотражающих сфер |
3.11 |
|
P(u) |
Вероятность наличия u центров слабоотражающих сфер в произвольно выбранном объеме 1 мл |
6.2.4 |
|
q |
Экспонента зависимости частоты от коэффициента обратного рассеяния |
6.3 |
|
Ri и Ni |
Средние значения пикселя на сторонах фантома с отражателем и без отражателя |
Формула (F.1) |
|
SLn = (MPV)n |
MPV, рассчитанное на площади А с центром в проекции (xCMn, yCMn) на плоскость изображения, ближайшей к zCM |
8.3.2 |
|
SmBn |
Среднее значение всех MPV на заданной плоскости изображения, центры которых находятся в пределах кольца, ограниченного радиусам, равным (3/4)D и 2D, с центром в координатах SLn |
8.3.2 |
|
SDd |
Стандартное отклонение всех MPV с центрами, лежащими в пределах сегмента объема d, с использованием всего набора изображений |
Е.1 |
|
xCMn, yCMn, zCMn |
Координаты центра масс n-ной слабоотражающей сферы |
Е.1 |
|
xn, yn |
Проекции х- и y-координат центра масс n-ной слабоотражающей сферы (xCMn, yCMn) на ближайшую плоскость изображения |
8.2 |
|
v |
Среднее число центров слабоотражающих сфер на миллилитр |
6.2.4 |
|
σBn |
Стандартное отклонение всех MPV, составляющих SmBn |
8.3.2 |
Технические характеристики, которые предоставляет изготовитель, должны позволять проводить их сравнение с результатами испытаний, описанными в настоящем стандарте.
Все измерения должны быть выполнены при следующих условиях окружающей среды:
- температура - плюс (23 ± 3) °С;
- относительная влажность - от 10 % до 95 %;
- атмосферное давление - от 66 до 106 кПа.
Такие свойства ультразвуковых фантомов, как скорость звука и коэффициент затухания, могут варьировать в зависимости от температуры. Для того чтобы определить, сохраняются ли ожидаемые акустические свойства при указанных выше условиях окружающей среды, необходимо ознакомиться с техническими характеристиками, опубликованными изготовителем фантома. Если свойства не сохраняются, то описанные ниже испытания следует проводить при таких условиях окружающей среды, при которых с использованием фантома или тестового объекта могут быть получены ожидаемые и воспроизводимые результаты.
При испытаниях, описанных в настоящем стандарте, следует применять тканеимитирующие фантомы и оцифрованные данные изображения, полученные с помощью ультразвукового сканера.
6.2.1 Фантомы для использования в диапазоне частот от 2 до 7 МГц
Фантом должен позволять получать изображения на глубине не менее 16 см и обеспечивать полное отображение кадра изображения, полученного при В-сканировании. По всему кадру изображения для оценки вероятности обнаружения должны иметься слабоотражающие сферы, диаметр этих сфер должен быть установлен производителем с точностью до ± 1 %. Среднее число сфер на единицу объема должно составлять не менее 1 на миллилитр, однако доля объема, состоящего из сфер, не должна превышать 3, 3 %. Окна сканирования должны обеспечивать контакт всей излучающей поверхности датчика (активная рабочая поверхность датчика), при этом делая возможным перемещение датчика по высоте на достаточное расстояние таким образом, чтобы наиболее вероятное число сфер, охваченных плоскостью сканирования на фокусном или близком к нему расстоянии, составило 25 или более при интервале глубины 5 мм. Для адекватной оценки характеристик в диапазоне частот от 2 до 7 МГц рекомендуемый диаметр слабоотражающих сфер составляет от 3 до 4 мм.
Примечание - Одна слабоотражающая сфера может служить в качестве двух таких сфер, если полное внутреннее отражение от плоской поверхности обеспечивает получение отдельного изображения. Пример геометрии приведен в приложении А.
6.2.2 Фантомы для использования в диапазоне частот от 7 до 15 МГц, включая "микроконвексные" решетки
Фантом должен позволять получать изображения на глубине не менее 10 см и обеспечивать полное отображение кадра изображения, полученного при В-сканировании. По всему кадру изображения для оценки вероятности обнаружения должны иметься слабоотражающие сферы, диаметр этих сфер должен быть установлен производителем с точностью до ± 1 %. Среднее число сфер на единицу объема должно составлять не менее 8 на миллилитр, однако доля объема, состоящего из сфер, не должна превышать 3, 3 %. Окна сканирования должны обеспечивать контакт всей излучающей поверхности датчика (активная рабочая поверхность датчика), при этом делая возможным перемещение датчика по высоте на достаточное расстояние таким образом, чтобы наиболее вероятное число сфер, охваченных плоскостью сканирования на фокусном или близком к нему расстоянии, составило 25 или более при интервале глубины 2 мм. Для адекватной оценки характеристик в диапазоне частот от 7 до 15 МГц рекомендуемый диаметр слабоотражающих сфер составляет от 1 до 2 мм.
Примечание - Одна слабоотражающая сфера может служить в качестве двух таких сфер, если полное внутреннее отражение от плоской поверхности обеспечивает получение отдельного изображения. Пример геометрии приведен на рисунке D.1.
6.2.3 Поверхности полного внутреннего отражения
Для фантомов со слабоотражающими сферами диаметром от 3 до 4 мм приемлемо наличие в них двух параллельных зеркальных стеклянных поверхностей, вызывающих полное внутреннее отражение, как показано на рисунках А.1 и А.2. Для фантомов со слабоотражающими сферами диаметром от 1 до 2 мм приемлемо наличие в них двух параллельных плоских алюминиевых поверхностей, вызывающих полное внутреннее отражение, как показано на рисунке D.1; достаточный показатель шероховатости поверхности алюминия составляет 6 мкм или менее.
6.2.4 Случайное пространственное распределение слабоотражающих сфер
Хотя положения слабоотражающих сфер в фантоме могут быть точно заданы, производственные затраты значительно снижаются в случае случайного пространственного распределения.
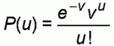
Случайное пространственное распределение слабоотражающих сфер в фантоме достаточно близко описывается функцией распределения вероятностей Пуассона:
,
(1)
где v - среднее число центров слабоотражающих сфер на миллилитр.
Например, если v = 1 и P(u) - вероятность наличия u центров слабоотражающих сфер в произвольно выбранном объеме 1 мл, стандартное отклонение σ = v1/2 = 1.
Для любого фантома, используемого при температуре плюс 23 °С, установлены следующие диапазоны значений ультразвуковых свойств.
Примечание - Установленные в настоящем стандарте значения свойств и допуски в целом сходны, но не идентичны установленным в МЭК 61391-1:2006 и МЭК 61391-2:2010.
Плотность: (1, 05 ± 0, 02) г·мл-1.
Коэффициент затухания, деленный на частоту: (0, 50 ± 0, 04) дБ·см-1·МГц-1, для материала слабоотражающих сфер или (0, 70 ± 0, 04) дБ·см-1·МГц-1 для фонового (окружающего слабоотражающие сферы) материала и значение для материала слабоотражающих сфер должно находиться в пределах 0, 04 дБ·см-1·МГц-1 от фонового значения.
Скорость распространения звука: (1540 ± 10) м/с-1.
Коэффициент обратного рассеяния при частоте от 2 до 15 МГц: для фонового материала 3·10-4 (ср·см)-1 ± 3 дБ при частоте 3 МГц и частотной зависимости (частота)q, где 3 ≤ q ≤ 4, и для материала слабоотражающих сфер - не более минус 20 дБ относительно фонового материала.
Долгосрочная стабильность: необходимо обратить внимание на то, что в фантоме должны сохраняться исходные значения коэффициента обратного рассеяния в пределах ± 5 дБ, коэффициента затухания/частоты в пределах ± 8 %, скорости распространения звука в пределах ± 1 % и плотности - в пределах ± 2 % в течение не менее чем пяти лет. Для тканеимитирующих материалов на водной основе это требование может быть соблюдено путем периодического мониторинга массы фантома, установленной изготовителем. При снижении массы на заданную величину фантом может быть возвращен изготовителю для вливания достаточного количества водного раствора с целью возврата исходной массы (и, предположительно, ультразвуковых свойств) фантома на дату его изготовления.
Основными данными, получаемыми при использовании датчиков типов с a) по d), которые указаны в разделе 1, является цифровое полутоновое изображение, включающее всю выбранную зону визуализации. Обычно реализуются не менее 8 битов (256 уровней) различимых оттенков серого. Данные по датчикам типов е) и f), которые указаны в разделе 1, приведены в приложении К.
Примечание 1 - Принято обеспечивать наличие программного обеспечения и аппаратных средств, упрощающих получение, запись и долгосрочное хранение этих данных.
На рисунке 1 показана схема методики.
Протокол измерения включает получение изображений при перемещении испытуемого датчика по направлению толщины сечения соответствующего фантома. Для систем, в которых оси лучей, соответствующих кадру изображения, лежат в плоскости (ограничивающей "плоскость сканирования"), датчик следует удерживать в контакте с участком окна сканирования (с соответствующим контактным гелем) с помощью аппарата, который также позволяет перемещение по вертикали, тем самым делая возможным получение кадров изображения с параллельными плоскостями сканирования [7].
Примечание 2 - Перемещаться может или датчик, или фантом.
Максимальный шаг перемещения при получении кадров представляет собой функцию диаметра слабоотражающей сферы и позволяет плоскости симметрии (плоскости сканирования) как минимум одного кадра лежать в пределах 1/8 диаметра сферы от центра выявленной сферы; т.е. максимальный шаг должен быть равен 1/4 диаметра сферы.
Примечание 3 - Если в какой-либо рецензируемой публикации приведена альтернативная методика определения центров слабоотражающих сфер, по меньшей мере такая же точная, как и методика, описанная в разделе 7 и приложении Е, и предложено программное обеспечение для вычисления значений ОСШС в зависимости от глубины, согласующихся со значениями, полученными в ссылочной работе [7], то использование такой альтернативной методики не будет противоречить настоящему стандарту.

Рисунок 1 - Структурная схема
В большинстве сканеров доступны оцифрованные изображения в формате DICOM (Digital Imaging and Communications in Medicine, создание оцифрованных изображений и их передача в медицине [8]). Имеется программное обеспечение, способное передавать и открывать изображения в формате DICOM. Могут использовать растровые изображения в том случае, если возможно их получение со сканера. Применяются положения 6.4 МЭК 61391-2:2010.
Данный метод используется большинством производителей сканеров для внутреннего контроля качества и разработки методов обработки изображений. Данный метод может быть распространен в клинической практике в случае использования персоналом протоколов передачи файлов, например file transfer protocol (протокол ftp). Кроме того, конструкция многих сканеров предусматривает возможность хранения файлов изображений на съемных носителях информации, таких как флэш-накопители, магнитооптические диски, накопители со сжатием данных или компакт-диски. Данные носители также могут быть источниками оцифрованных данных изображений. Во многих системах доступна функция полноэкранного захвата изображения.
Для исследования и сохранения ультразвуковых изображений многие диагностические центры используют коммерчески доступные системы хранения и передачи изображений (PACS, Picture Archiving and Communication Systems). Изготовители систем PACS обычно предоставляют потребителям, имеющим соответствующие права доступа, средства для сбора изображений в несжатом формате, например формате tiff (Tagged Image File Format, теговый формат файлов изображений) или формате DICOM (Digital Imaging and Communications in Medicine, создание цифровых изображений и их передача в медицине [8]).
При использовании данных изображений, полученных согласно описанию, приведенному в разделе 7, и считая значения градиентов фоновых MPV ничтожно малыми, имеем, что вероятность обнаружения, связанная с человеком-наблюдателем, равняется среднему отношению сигнал/шум в области поражения тканей (ОСШС) в каждом из соседних сегментов объема, ограниченных интервалами глубины, охватывающими весь доступный диапазон глубин [3], [7].
Согласно определению в 3.11 отношение сигнал/шум в области поражения тканей для n-ной слабоотражающей сферы (ОСШn) представляет собой численное значение, количественно определяющее вероятность обнаружения в макроскопически однородном окружающем фоновом материале макроскопически однородной слабоотражающие сферы с центром в сегменте объема, ограниченном заданным интервалом глубины. Слабоотражающие сферы и окружающий их материал имеют истинные коэффициенты обратного рассеяния BSCobj и BSCbkg соответственно. ОСШn для сферического включения определено и подробно рассмотрено в [9].
Примечание - "Контрастность объекта" в децибелах равняется 10 log10 (BSCobj/BSCbkg), и, согласно техническим описаниям, приведенным выше, это значение составляет минус 20 дБ или ниже для слабоотражающих сфер по сравнению с фоновым материалом. Подстрочный индекс L ("Область поражения тканей") и В ("Сферы") представляют собой частные случаи подстрочных индексов "obj" ("объект") и "bkg" ("фон") соответственно.
MPV согласно определению в 3.8 представляет собой среднее значение пикселей, размещенных на площади А изображения фантома, где А - некоторая площадь, меньшая, чем площадь круга с диаметром D. Данное определение позволяет в некоторой степени компенсировать эффект частичного объема при сканировании в направлении толщины [3].
В настоящем стандарте А является площадью квадрата со стороной, равной 2D/3 [3]. Для каждого изображения, полученного в соответствии с 7.1, рассчитывается набор значений MPV для площадей А. При этом в плоскости изображения проводят растровое пошаговое сканирование, центры составляют простую квадратную решетку с расстоянием между ближайшими соседними центрами, равным D/4. Таким образом, для всех изображений, полученных путем последовательного пошагового перемещения испытуемого датчика на расстояние D/4 при сканировании в направлении толщины, каждое значение MPV в наборе значений связано с одним из центров простой кубической решетки.
Определяют значение (МРV)ijk, являющееся MPV для узла ijk в кубической решетке, где i, j и k целые числа, (D/4)i - значение по оси х, (D/4)j - значение по оси y и (D/4)k - значение по оси z для узла решетки. Кроме того, i и j соответствуют рядам и столбцам, а k - направлению по толщине кубической решетки соответственно.
Далее следует определить координаты (xCM, yCMn, zCMn) центров слабоотражающих сфер (см. первый абзац пункта 8.3.1 и Е.1 приложения Е). Затем для каждого n вычисляют среднее значение пикселя на плоскости изображения, ближайшего к центрам n-ной слабоотражающей сферы для узла, имеющего координаты по осям х и y, равные координатам центра (xCMn и yCMn), что приводит к формированию нового набора значений MPV (значение MPVn, также обозначаемое как сигнал SLn); в общем случае эти координаты xn и yn не будут совпадать с координатами любого (MPV)ijk. При вычислении MPVn единственные значимые пиксели находятся во внутренней окружности, показанной на рисунке 2; поэтому при вычислениях MPVn не учитывается зона с перекрестной штриховкой, которая в других случаях обозначает исключаемую зону. Роль SLn представлена в формуле (2).
Рисунок 2 представляет собой схему плоскости изображения, которая является частным случаем нахождения в плоскости центра слабоотражающей сферы (●) концентрических окружностей с радиусами, определенными в 8.3. Также на рисунке 2 изображены примеры последовательных квадратных площадей А, очерченных для вычисления среднего значения пикселей (MPV)ijk. Узлы решетки, расположенные в центре каждого квадрата, обозначены как (■).
|
На рисунке 2 MPV-узлы решетки, расположенные на центральном участке плоскости изображения с перекрестной штриховкой, исключены из вычислений средних значений для фона и величин стандартного отклонения. Однако MPV в узлах на плоскости изображения в окружности с косой штриховкой включены в вычисления, если они не находятся в пределах сферы с радиусом 3D/4, концентричной с другим центром слабоотражающей сферы (например, расположенным слева внизу), или в пределах площади (пунктирные линии), прилегающей к границе изображения, полученного с помощью линейного датчика или секторного сканирования (вертикальные или наклонные сплошные линии соответственно) - 8.3.1. |

■ - MPV-узлы решетки (i, j, k) на плоскости изображения с шагом решетки D/4 - раздел 7;
● центр n-ной слабоотражающей сферы, в данном частном случае также находящийся на плоскости изображения:
(x = xCMn, y = yCMn, z = zCMn); в общем случае (x ≠ xCMn, y ≠ yCMn, z ≠ zCMn)
Внутренняя окружность представляет собой границу (физическую) слабоотражающей сферы, имеющей радиус (частный случай) D/2 в точке пересечения с плоскостью изображения; в общем случае радиус пересечения составляет ≤ D/2 - см. 3.4.
Средняя окружность (математическая) на плоскости изображения имеет (частный случай) радиус 3D/4; в общем случае радиус пересечения составляет ≤ 3D/4 - см. 8.3.1.
Внешняя окружность (математическая) на плоскости изображения имеет (частный случай) радиус 2D; в целом, радиус пересечения составляет ≤ 2D - см. 8.3.2.
Квадраты из сплошных линий (примеры) обозначают площади А на плоскости изображения, имеющие стороны длиной 2D/3 и используемые для вычисления значений (MPV)ijk, присваиваемых узлам решетки (■) в центрах квадратов - см. 8.2; при пересечении этих квадратов окружностями программа выбирает, включить или исключить некоторые пиксели (перекрестная штриховка обозначает зону исключения) - см. 8.3.
Квадрат из пунктирных линий (верхняя часть рисунка) обозначает предыдущую последовательную площадь А на плоскости изображения для вычисления (MPV)ijk - см. 8.2.
Квадрат из точечных пунктирных линий (центр рисунка) обозначает площадь А на плоскости изображения для вычисления (MPV)n (исключение и перекрестная штриховка не применимы) - см. 8.3.2.
Круглый участок с перекрестной штриховкой (нижняя правая часть рисунка) имеет радиус ≤ 3D/4 и обозначает участок плоскости изображения, перекрываемый "центральной окружностью (математической)", ограничивающей другую слабоотражающую сферу вне плоскости с центром в точке z ≠ zCMn - см. 8.3.1.
1 - вертикальная сплошная линия и параллельная ей пунктирная линия обозначают боковую границу изображения, полученного с помощью датчика с линейной решеткой, и границу зоны исключения шириной D/3, обозначенную крестиками (X); 2 - наклонная сплошная линия и параллельная ей пунктирная линия обозначают боковую границу изображения секторного сканирования и границу зоны исключения шириной 21/2D/3, обозначенную крестиками (X); выбранная ширина зоны исключения зависит от угла сектора, показана конкретная ширина для сектора с углом 90°.
Кроме того, X обозначает узел квадратной решетки, не имеющий соответствующего (MPV)ijk и поэтому не участвующего в вычислении SmBn или σBn в формуле (2)
Рисунок 2 - Схема плоскости изображения
8.3.1 Предварительные данные
Во-первых, следует определить положение центров всех выявляемых слабоотражающих сфер в сегменте объема, ограниченном интервалом глубины, в прямоугольной системе координат. Предпочтительный метод для выполнения этой задачи описан в разделе 7 и приложении Е. Кроме того, этот же метод используется в других приложениях для определения значений ОСШС в зависимости от глубины.
Во-вторых, для вычисления средних значений для фона и величин стандартного отклонения согласно 8.3.2 следует исключить все MPV, на которые может оказываться значимое влияние вследствие наличия поблизости слабоотражающей сферы; т.е. для этого вычисления не используют любое значение (MPV)ijk в узлах кубической решетки, которое находится в пределах радиуса, равного 3D/4 любого центра слабоотражающей сферы, координаты которого определены в соответствии с предыдущим абзацем.
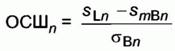
8.3.2 Вычисление значений ОСШn и значения ОСШС в заданном интервале глубины
Значение ОСШn для n-ной слабоотражающей сферы рассчитывают по формуле
,
(2)
где в терминах координат центров слабоотражающих сфер согласно определению, приведенному в приложении Е [7]
SLn - значение МРV (названное (MPV)n в последнем абзаце 8.2) для n-ной сферы с координатами по осям х и y, равными xCMn и yCMn соответственно и координатой z (по вертикали), соответствующей плоскости изображения, ближайшей к zCMn;
SmBn - среднее значение всех MPV на заданной плоскости изображения, центры которых находятся в пределах кольца, описываемого окружностями с радиусами 3D/4 и 2D и центрами в координатах SLn (см. 8.3.1 и рисунок 2 для иллюстрации);
σBn - стандартное отклонение всех MPV, учитываемых при вычислении SmBn.
Тогда значение ОСШС для объемного сегмента, ограниченного интервалом глубины, составит:
,
(3)
где N - общее число выявленных слабоотражающих сфер с центрами в сегменте объема, ограниченном интервалом глубины (включая все кадры изображения), исключая сферы, расположенные в пределах 2D от границы фантома (см. 3.11).
8.3.3 Стандартная ошибка, соответствующая каждому значению ОСШn
Стандартная ошибка, соответствующая каждому значению ОСШn, задается значением, составляющим N-1/2 от величины стандартного отклонения значений ОСШn, соответствующих рассматриваемому интервалу глубины.
Приложение А
(справочное)
На рисунках А.1 и А.2 показан фантом, содержащий слабоотражающие сферы и соответствующий техническим характеристикам, приведенным в настоящем стандарте. На рисунке В.1 показано изображение образца фантома, имеющего практически те же размеры, как у фантомов, изображенных на рисунках А.1 и А.2. Вместо одного из зеркальных отражателей из стекла имеется плоский алюминиевый отражатель. Алюминиевый отражатель имеет слегка шероховатую поверхность, что порождает формирование рассеянного эха на его поверхности.

1 - окно сканирования с радиусом кривизны 7 см по границе ТИ материала; 2 - окно сканирования с радиусом кривизны 3 см по границе ТИ материала; 3 - безэховая сфера; 4 - плоское окно сканирования размером 6 x 11 см; 5 - зеркальный отражатель из стекла; 6 - акриловая пластина толщиной 1 см; 7 - окружающий материал со скоростью распространения звука, равной 1540 м·с-1 и (коэффициент затухания)/частота = 0, 5 дБ·см-1·МГц-1 с одной безэховой сферой диаметром 4 мм на миллилитр
Рисунок А.1 - Фантом, применяемый на частотах от 2 до 7 МГц, вид сбоку, показывающий случайное пространственное распределение слабоотражающих сфер диаметром 4 мм
На рисунке А.1 в верхней части фантома показаны края конического окна сканирования. Плоское окно сканирования может работать с линейными, фазированными и плоскими 2D-решетками [2]. Параллельные зеркальные прямоугольники благодаря полному внутреннему отражению обеспечивают расширение изображения за пределы объема, заполненного тканеимитирующим материалом.

1 - безэховая сфера; 2 - плоское окно сканирования размером 6 х 11 см; 3 - акриловая пластина толщиной 1 см; 4 - зеркальный отражатель из стекла; 5 - окружающий материал со скоростью прохождения звука, равной 1540 м·с-1 и (коэффициент затухания)/частота = 0, 5 дБ·см-1·МГц-1 с одной безэховой сферой диаметром 4 мм на миллилитр
Рисунок А.2 - Вид сверху фантома со слабоотражающими сферами диаметром 4 мм
Приложение В
(справочное)
На рисунке В.1 один из плоских отражателей (слева) из стекла заменен на алюминиевый, в результате чего от слегка шероховатой алюминиевой поверхности наблюдается вертикальная линия повышенных эхосигналов. На расстоянии 10 см вправо от алюминиевой пластины имеется расположенный параллельно ему зеркальный отражатель толщиной 3 мм. Максимальная ширина секторного изображения составляет 18, 6 см. Подробная проверка эффективности зеркальных пластин из стекла или алюминия в отношении полного внутреннего отражения и эффекта поверхностного диффузного рассеяния представлена в приложении F.

Рисунок В.1 - Изображение образца фантома со слабоотражающими сферами диаметром 4 мм для использования в диапазоне частот от 2 до 7 МГц, полученное с помощью датчика с конвексной решеткой
На рисунках В.2-В.8 показаны вспомогательные изображения и результаты их анализа, более подробно описанные на самих рисунках и подписях под ними.
|
а Обрезанное изображение из рисунка В.1 с удаленной вертикальной линией, сформированной слабыми рассеянными эхосигналами от поверхности плоской алюминиевой пластины |
b Картирование MPV в полутоновой шкале |
|
с Набор из семи узлов, идентифицированных как центры слабоотражающих сфер на рисунке В.1 |
d Пятимиллиметровые интервалы глубины, различаемые по разным уровням серого |
Рисунок В.2 - Вспомогательные снимки, относящиеся к рисунку В.1
|
а Средние значения ОСШ (ОСШС) в зависимости от глубины в соответствии с двумя независимыми наборами из 25 изображений, относящиеся к рисункам В.1 и В.2 |
b Число центров слабоотражающих сфер, выявленных в каждом пятимиллиметровом интервале глубины |
Среднее значение ОСШ по оси ординат на левом графике приведено в описании вычисления ОСШС в пояснениях, приведенных в 8.3.2.
Рисунок В.3 - Результаты, соответствующие результатам на рисунках В.1 и В.2 и подтверждающие воспроизводимость
В рисунке В.4а использовались все 50 изображений в одном наборе; такое использование является рекомендованным. На рисунке В.4b показано, что число слабоотражающих сфер в пяти миллиметровых интервалах глубины в фокусном расстоянии составляет приблизительно 25.
|
а Средние значения ОСШ (ОСШС) в зависимости от глубины с использованием всех 50 изображений, соответствующих изображениям на рисунке В.3 |
b Число центров слабоотражающих сфер, выявленных в каждом пятимиллиметровом интервале глубины |
Среднее значение ОСШ по оси ординат на левом графике приведено в описании вычисления ОСШС в пояснениях, приведенных в 8.3.2.
Рисунок В.4 - Результаты, соответствующие результатам на рисунках В.1, В.2 и В.3

Рисунок В.5 - Одно из 80 параллельных изображений фантома, содержащего слабоотражающие сферы диаметром 4 мм, полученных с помощью датчика с линейной решеткой на частоте 4 МГц с фокусным расстоянием 3 см
На рисунке В.6 зелеными крестиками (х) показаны установленные центры слабоотражающих сфер с привязкой к соответствующим изображениям. Там, где таких значков нет, центр слабоотражающих сфер привязан к соседнему изображению.

Рисунок В.6 - Три последовательных изображения из набора, включающего 80 изображений, разделенных D/4, равным 1 мм
На рисунке В.7 набор изображений с 1 по 40 является независимым от набора изображений с 41 по 80. Взаимная увязка этих двух наборов данных, графически изображенная на панели а, является приемлемой, но должна быть лучше. На панели b показано, что среднее число слабоотражающих сфер на интервал глубины составляет приблизительно 7.
|
а Средние значения ОСШ (ОСШС) в зависимости от глубины |
b Число слабоотражающих сфер, выявленных в каждом пятимиллиметровом интервале глубины |
Среднее значение ОСШ по оси ординат на левом графике приведено в описании вычисления ОСШС в пояснениях, приведенных в 8.3.2.
Рисунок В.7 - Результаты для изображений шириной 4 см, полученных при фокусном расстоянии 3 см с помощью датчика с линейной решеткой и рассматриваемых на рисунках В.5 и В.6
На рисунке В.8а соответствие кривой гораздо лучше при удвоении числа слабоотражающих сфер на сантиметровый интервал глубины. Удвоение числа выявленных слабоотражающих сфер в трехсантиметровой фокусной зоне позволило бы лучше определить минимальное (самое отрицательное) значение ОСШС, однако ограниченный размер окна в данном фантоме препятствует получению более чем 80 изображений.
|
а Средние значения ОСШ (ОСШС) в зависимости от глубины |
b Число слабоотражающих сфер, выявленных в каждом пятимиллиметровом интервале глубины |
Среднее значение ОСШ по оси ординат на левом графике приведено в описании вычисления ОСШС в пояснениях, приведенных в 8.3.2.
Рисунок В.8 - Результаты для изображения шириной 4 см, полученных при фокусном расстоянии 3 см с помощью датчика с линейной решеткой и рассматриваемых на рисунках В.5-В.7 с использованием всех 80 кадров изображений, соответствующих рисунку В.7
Приложение С
(справочное)
С.1 Общие положения
В приложении С приведено подтверждение того, что минимальное число изображений, необходимое для обеспечения достаточной точности значений ОСШС в фокусной зоне, составляет приблизительно 25. Оценена воспроизводимость результатов при использовании независимых (неперекрывающихся) частей фантома.
С.2 Фантом со слабоотражающими сферами диаметром 3, 2 мм с двумя сферами на миллилитр
Первый пример касается датчика с линейной решеткой, работающего на частоте 4 МГц при фокусном расстоянии 3 см. Интервал между изображениями по толщине составляет D/4 = 3, 2 мм/4 = 0, 8 мм. Изображение приведено на рисунке С.1. Результаты для двух случаев, когда отсутствует перекрывание отображенных объемов, показаны на рисунке С.2. Оба набора включают по 70 изображений, соответствующих фактическому перемещению по толщине 70·0, 8 мм = 5, 6 см. В данном случае среднее число центров слабоотражающих сфер на пятимиллиметровом интервале глубины составляет приблизительно 15, а не 25, однако воспроизводимость остается удовлетворительной. На рисунке С.3 показан результат для того случая, когда используют все 140 изображений, и среднее число центров слабоотражающих сфер на объемный сегмент, ограниченный интервалом глубины, составляет приблизительно 30; качество аппроксимации отличное, что указывает на отличную воспроизводимость. Фактическое перемещение по толщине составляет 140·0, 8 мм = 11, 2 см.

Рисунок С.1 - Одно изображение фантома, включающего слабоотражающие сферы диаметром 3, 2 мм, полученное при помощи датчика с линейной решеткой, работающего на частоте 4 МГц при фокусном расстоянии 3 см
|
а Средние значения ОСШ (ОСШС) в зависимости от глубины |
b Число центров слабоотражающих сфер, выявленных в каждом пятимиллиметровом интервале глубины |
Среднее значение ОСШ по оси ординат на левом графике приведено в описании вычисления ОСШС в пояснениях, приведенных в 8.3.2.
Рисунок С.2 - Воспроизводимость результатов для двух независимых наборов по 70 изображений при среднем числе центров слабоотражающих сфер приблизительно 15 на пятимиллиметровый интервал глубины
На рисунке С.3b число слабоотражающих сфер на интервале глубины 5 мм на фокусном расстоянии составляет приблизительно 25, что соответствует рекомендованному в пункте 6.2.1 числу, а на графике а аппроксимация кривой соответствует ожиданиям.
|
а Средние значения ОСШ (ОСШС) в зависимости от глубины |
b Число центров слабоотражающих сфер, выявленных в каждом пятимиллиметровом интервале глубины |
Среднее значение ОСШ по оси ординат на левом графике приведено в описании вычисления ОСШС в пояснениях, приведенных в 8.3.2.
Рисунок С.3 - Результаты, полученные при использовании обоих наборов из 70 независимых изображений, соответствующих рисунку С.2
Следующее исследование воспроизводимости включает результаты, полученные с помощью датчика с конвексной решеткой, работающего на частоте 4, 5 МГц, и иллюстрирует возможность установить различие в результатах работы при выборе разных фокусных расстояний. На рисунке С.4 показано изображение, полученное при нескольких фокусных расстояниях - 4, 8 и 12 см; на рисунке С.5 показаны соответствующие результаты в отношении воспроизводимости. На рисунке С.6 показаны результаты в отношении воспроизводимости, соответствующие работе при одном глубоком фокусном расстоянии 10 см, а на рисунке С.7 - при одном малом фокусном расстоянии 4 см.

Рисунок С.4 - Секторное изображение (конвексная решетка), полученное на частоте 4, 5 МГц и нескольких фокусных расстояниях - 4, 8 и 12 см; диаметр слабоотражающих сфер 3, 2 мм
На рисунке С.5а воспроизводимость отличная. Среднее число центров слабоотражающих сфер на пятимиллиметровый интервал глубины равно 25. Боковая фокусировка на глубину 8 и 12 см дает едва выраженные результаты, очевидный хороший результат получается при фиксированной фокусировке в направлении по толщине на глубину приблизительно 4 см.
|
а Средние значения ОСШ (ОСШС) в зависимости от глубины |
b Число слабоотражающих сфер, выявленных в каждом пятимиллиметровом интервале глубины |
Среднее значение ОСШ по оси ординат на левом графике приведено в описании вычисления ОСШС в пояснениях, приведенных в 8.3.2.
Рисунок С.5 - Воспроизводимость результатов для нескольких боковых фокусных расстояний (4, 8 и 12 см), соответствующая воспроизводимости на рисунке С.4
На рисунке С.6а воспроизводимость отличная. Среднее число центров слабоотражающих сфер на пятимиллиметровый интервал глубины равно 25. Боковое фокусирование на глубину 10 см не дает очевидных результатов, действительно хороший результат получается при фиксированной фокусировке в направлении по толщине на глубину приблизительно 4 см. Следует отметить, что имеется различие между этими результатами и случаем применения нескольких фокусных расстояний на рисунке С.5, а именно минимальное значение ОСШС при меньшей глубине приблизительно минус 7, 9 вместо приблизительно минус 8, 7 в случае с несколькими фокусами.
|
а Средние значения ОСШ (ОСШС) в зависимости от глубины |
b Число центров слабоотражающих сфер, выявленных в каждом пятимиллиметровом интервале глубины |
Среднее значение ОСШ по оси ординат на левом графике приведено в описании вычисления ОСШС в пояснениях, приведенных в 8.3.2.
Рисунок С.6 - Воспроизводимость результатов для случая, соответствующего случаю на рисунке С.5, за исключением того, что здесь задействовано одно фокусное расстояние, равное 10 см
На рисунке С.7а воспроизводимость отличная. Среднее число центров слабоотражающих сфер на пятимиллиметровый интервал глубины равно 25. Случаи с фокусным расстоянием 10 и 4 см практически неразличимы, случай с фокусом 4 см имеет минимум на большей глубине (отрицательное значение).
|
а Средние значения ОСШ (ОСШС) в зависимости от глубины |
b Число центров слабоотражающих сфер, выявленных в каждом пятимиллиметровом интервале глубины |
Среднее значение ОСШ по оси ординат на левом графике приведено в описании вычисления ОСШС в пояснениях, приведенных в 8.3.2.
Рисунок С.7 - Воспроизводимость результатов для случая, соответствующего случаю на рисунке С.5, за исключением того, что здесь задействовано одно фокусное расстояние, равное 4 см
С.3 Фантом со слабоотражающими сферами диаметром 2 мм, восемь сфер на миллилитр
На рисунке С.8 показано изображение фантома, содержащего слабоотражающие сферы диаметром 2 мм, полученное с помощью датчика с конвексной решеткой с радиусом кривизны 1, 5 см и фокусным расстоянием 3 см. Обозначение датчика С8-5 означает, что спектр импульсов находится в диапазоне от 5 до 8 МГц.

Рисунок С.8 - Изображение фантома, включающего слабоотражающие сферы диаметром 2 мм, полученное с помощью датчика с конвексной решеткой с радиусом кривизны 1, 5 см и фокусным расстоянием 3 см
На рисунках С.9 и С.10 показаны соответствующие результаты в отношении воспроизводимости (диаграммы по данному фантому см. в приложении D).
Хотя на рисунке С.9а воспроизводимость результатов по значениям ОСШС удовлетворительная, разброс нанесенных точек превышает желательный, а величины ошибки достаточно высокие. Изображения с 1 по 50 получены независимо от изображений с 51 по 100. На графике b следует отметить, что выявленное число слабоотражающих сфер на двухмиллиметровый интервал глубины в фокусном диапазоне составляет приблизительно 15, что менее, чем рекомендованное минимальное число (25).
|
а Средние значения ОСШ (ОСШС) в зависимости от глубины |
b Число центров слабоотражающих сфер, выявленных в каждом двухмиллиметровом интервале глубины |
Среднее значение ОСШ по оси ординат на левом графике приведено в описании вычисления ОСШС в пояснениях, приведенных в 8.3.2.
Рисунок С.9 - Воспроизводимость результатов, соответствующая воспроизводимости на рисунке С.8
На рисунке С.10а число слабоотражающих сфер на интервал глубины в фокальной области (диапазон глубин от 1 до 1, 5 см) составляет приблизительно 30. Число выявленных слабоотражающих сфер на двухмиллиметровый интервал глубины в интервале глубин от 2, 5 до 3, 5 см составляет менее 20, что отрицательно влияет на точность определения в данной области.
|
а Средние значения ОСШ (ОСШС) в зависимости от глубины |
b Число центров слабоотражающих сфер, выявленных в каждом двухмиллиметровом интервале глубины |
Среднее значение ОСШ по оси ординат на левом графике приведено в описании вычисления ОСШС в пояснениях, приведенных в 8.3.2.
Рисунок С.10 - Результаты, полученные при использовании всех 100 изображений из набора, соответствующего набору на рисунке С.9
На рисунке С.11 показано изображение фантома, включающего слабоотражающие сферы диаметром 2 мм, полученное при помощи высокочастотной (15 МГц) линейной решетки, с глубиной боковой фокусировки 4 см. На рисунках С.12 и С.13 приведены соответствующие результаты в отношении воспроизводимости.

Рисунок С.11 - Изображение фантома, включающего слабоотражающие сферы диаметром 2 мм, полученное при помощи высокочастотного датчика (15 МГц) с линейной решеткой при глубине боковой фокусировки 4 см
На рисунке С.12а изображения с 1 по 100 получены независимо от изображений со 101 по 200. Воспроизводимость подтверждается с помощью приблизительно 35 выявленных слабоотражающих сфер на двухмиллиметровый интервал глубины в пределах диапазона фокусной глубины, которая снова является фокусом по толщине глубиной около 1, 5 см.
|
а Средние значения ОСШ (ОСШС) в зависимости от глубины |
b Число центров слабоотражающих сфер, обнаруженных в каждом двухмиллиметровом интервале глубины |
Среднее значение ОСШ по оси ординат на левом графике приведено в описании вычисления ОСШС в пояснениях, приведенных в 8.3.2.
Рисунок С.12 - Воспроизводимость результатов, соответствующих результатам на рисунке С.11
На рисунке С.13b число слабоотражающих сфер на двухмиллиметровый интервал глубины в фокальной зоне (диапазон глубин от 1 до 1, 5 см) составляет приблизительно 70.
|
а Средние значения ОСШ (ОСШС) в зависимости от глубины |
b Число центров слабоотражающих сфер, выявленных в каждом двухмиллиметровом интервале глубины |
Среднее значение ОСШ по оси ординат на левом графике приведено в описании вычисления ОСШС в пояснениях, приведенных в 8.3.2.
Рисунок С.13 - Результаты, полученные при использовании всех 200 изображений из набора, соответствующего набору на рисунке С.12
Приложение D
(справочное)
На рисунке D.1 показан фантом, содержащий слабоотражающие сферы и соответствующий техническим описаниям, приведенным в настоящем стандарте. На рисунке D.2 приведено изображение фантома, на котором четко видны слабоотражающие сферы в виде черных пятен без внутреннего отражения.

1 - радиус кривизны 3, 5 см; 2 - радиус кривизны 0, 5 см; 3 - акриловая пластина толщиной 6 мм; 4 - плоское окно сканирования; 5 - зеркальный отражатель из стекла; 6 - алюминиевый отражатель; 7 - безэховые сферы диаметром 2 мм (8 на 1 мл)
Рисунок D.1 - Схемы фантома со слабоотражающими сферами диаметром 2 мм для использования в диапазоне частот от 7 до 15 М Гц, вид сзади и сверху
Данный образец фантома произведен с одним зеркальным отражателем из стекла и одним параллельным ему отражателем из алюминиевой Al2O3 пластины. Алюминиевый отражатель имеет очень высокую плотность и скорость распространения звуковых волн, что обеспечивает полное внутреннее отражение при углах падения не более 16°, тогда как для стекла этот угол составляет приблизительно 30°. Обозначение датчика С8-5 на рисунке D.2 означает, что спектр импульсов находится в диапазоне от 5 до 8 МГц. У поверхности алюминиевого отражателя формируется множество эхосигналов.

Рисунок D.2 - Изображение, полученное при использовании фантома, содержащего слабоотражающие сферы диаметром 2 мм, и педиатрического датчика с радиусом кривизны приблизительно 1, 5 см
Приложение Е
(справочное)
Е.1 Методика
Согласно определению интервала глубины в 3.9, рисунку 1 и рисунку В.2d, определение положения слабоотражающих сфер в прямоугольной системе координат х, y, z с точностью до D/8 может быть осуществлено посредством следующих этапов [7], повторяющихся для всех значений n.
Примечание - В приложении Е подстрочный индекс n опущен.
1) Для каждого цифрового изображения и каждого сегмента объема, ограниченного интервалом глубины d, вычисляют среднее значение Md и стандартное отклонение SDd для всех MPV с центрами, находящимися в пределах каждого сегмента объема с использованием всего набора изображений.
2) Для каждого (MPV)ijk устанавливают шесть ближайших MPV и определяют, составляют ли значения всех семи MPV, включая исходное, меньше среднего значения, определенного на этапе 1, не менее чем на 1, 5 величины стандартного отклонения. Принимается, что каждый такой набор из семи значений MPV связан с одной слабоотражающей сферой (см. Е.2).
3) Обычно набор из семи значений MPV, определенных на этапе 2, будет иметь общее положение с другими наборами из семи MPV, определенных на этапе 2. Все такие наборы связывают с одной слабоотражающей сферой.
4) Для наборов из семи значений MPV, соответствующих этапу 3, вычисляют наилучшее значение для положения центра слабоотражающей сферы путем определения координат "центра массы" в прямоугольной системе xCM, yCM и zCM согласно формулам (Е.1), (Е.2) и (Е.3):
,
(Е.1)
,
(Е.2)
,
(Е.3)
где d - целое число, обозначающее соответствующий интервал глубины, d = 1, 2, 3...;
D - диаметр слабоотражающей сферы согласно определению, приведенному в 3.4;
Md - среднее значение всех MPV с центрами, расположенными в пределах сегмента объема, ограниченного интервалом глубины d, с использованием всего набора изображений, как определено выше;
(MPV)ijk - значение MPV в точке ijk согласно определению, приведенному в 8.2.
Е.2 Аргумент для выбора семи ближайших соседних точек MPV для определения центров слабоотражающих сфер
Учитывая, что включенные точки должны приблизительно определять сферу, все эти точки должны располагаться в пределах сферы с диаметром D и все точки должны иметь значение менее среднего значения Мd всех MPV с центрами, расположенными в пределах сегмента объема, ограниченного интервалом глубины d, не менее чем на 1, 5 величины стандартного отклонения SDd (см. этапы 1 и 2 в приложении D), возможны следующие варианты:
1) одна точка;
2) восемь точек по углам куба со стороной D/4;
3) семь точек, определяющих центр и углы тетраэдра (используемый вариант);
4) девять точек, одна из которых располагается в центре, а восемь - по углам куба со стороной D/2.
Вариант с одной точкой (вариант 1) неприемлем, поскольку случайные флуктуации точечного шумового фона могут вызвать появление огромного числа ложноположительных результатов.
Вариант 2 - возможный выбор с наибольшим расстоянием между двумя точками (на противоположных углах куба), составляющим (3/16)1/2·D=0, 43D.
Для варианта 3 (именно он используется программным обеспечением) максимальное расстояние между точками составляет D/2 - более, чем в варианте 2.
Максимальное расстояние между точками в варианте 4 составляет (3/4)1/2·D=0, 87D. Это расстояние считается слишком большим с учетом конечной ширины лучей в боковом измерении и измерении по толщине, а также конечной длительности импульса в осевом измерении, а также эффектов частичного объема вследствие сферической геометрии слабоотражающих включений и статистического характера спекл-структуры; таким образом, маловероятно, что значения MPV во всех восьми угловых точках составят менее Md-1, 5·SDd для менее выявляемых слабоотражающих сфер.
При использовании варианта 3 обнаружено, что число слабоотражающих сфер, выявленных в любом сегменте объема, ограниченном интервалом глубины, в целом согласуется со средним ожидаемым числом. Поэтому почти все сферы, выявленные наблюдателями в наборах изображений, выявлены и программой. Вариант 2 может рассматриваться в будущей работе в качестве сравнения с вариантом 3.
Приложение F
(справочное)
Для испытания эффективности зеркального и алюминиевого отражателей при возникновении полного внутреннего отражения таким образом, чтобы при достаточно малых углах падения (90° - перпендикулярное падение) не происходило преобразование волн в поперечные волны или волны Релея, был создан фантом с параллельными алюминиевым и стеклянным зеркальными отражателями на противоположных концах. Фантом заполнен тканеимитирующим фоновым материалом (без слабоотражающих сфер). Поверхности вертикальных пластин располагались на расстоянии около 23 см друг от друга, а в верхней части фантома имелись два окна сканирования. Одно из них имело радиус кривизны 1 см и полуцилиндрическую форму с центром на расстоянии 5 см от зеркального отражателя из стекла, а другое - плоскую форму и размеры 5 х 10 см, с центральной линией на расстоянии 5 см от алюминиевого отражателя. Криволинейное окно предусмотрено в качестве связующего звена между конвексной решеткой с радиусом кривизны 1 см и углом сектора около 153°, а плоское окно позволило связать фазированную решетку и угол сектора около 90°. Таким образом, могут быть получены изображения, в формировании которых участвовал только один отражатель, а другая сторона фантома полностью состояла из тканеимитирующего материала.
Примечание 1 - Согласно данным производителя, алюминиевый отражатель в описанном фантоме имел показатель шероховатости поверхности 6 мкм.
Что касается тканеимитирующего материала в фантоме, его компоненты были такими же, как и в фантомах, содержащих слабоотражающие сферы, за исключением того, что объемный процент молока, подвергшегося ультрафильтрации, составлявший долю 3:1, был снижен на 4/5 с получением значения отношения (коэффициент затухания)/частота α /f ≈ 0, 39 дБ·см-1·МГц-1 вместо 0, 5 дБ·см-1·МГц-1, тем самым повышая глубину проникновения и обеспечивая возможность получения достаточных данных для анализа. Измерения проводились при температуре 22 °С и частоте 5 МГц с применением ранее описанной методики [10]. Скорость распространения звука с = 1539 м·с-1, и отношение α/f = 0, 39 дБ·см-1·МГц-1.
Усредненное изображение по 10 снимкам, полученным с использованием датчика с фазированной решеткой, показано на рисунке F.1. Две прямоугольных зоны шириной по 10 мм представляют собой области, где рассчитаны средние значения пикселя при приращении глубины по вертикали на 5 мм.
Примечание 2 - Среднее значение пикселя, приведенное в приложении F, не относится к MPV, определенному в 3.8.
Эти два прямоугольника имеют одинаковые размеры и находятся в одинаковом положении по вертикали; однако один из них находится непосредственно слева от вертикальной линии едва заметных диффузных отражений от поверхности зеркального отражателя из стекла (левая сторона изображения), и оба прямоугольника смещены на одно и то же расстояние относительно вертикальной оси симметрии изображения. Таким образом, если полное внутреннее отражение и формирование изображения были бы идеальными, то графики средних значений пикселя при приращении глубины по вертикали на 5 мм при сравнении с исходной глубиной по вертикали должны быть идентичными. Поскольку в чувствительности фазированной решетки может быть асимметрия, эти два графика могут быть и не идентичными. Поэтому датчик повернули на 180° вокруг вертикальной оси, и был получен и усреднен еще один набор из 10 изображений. При повороте датчика изображение сигнала зеркального отражателя из стекла появляется на правой стороне изображения.
На рисунке F.2 показаны графики средних значений пикселя для левого и правого прямоугольников. Следует отметить, что среднее значение пикселей в прямоугольниках на глубину 5 мм составляет ноль, за исключением расстояний приблизительно от 5 до 16 см (расстояния по вертикали). На рисунке F.3 показаны соответствующие графики, полученные после поворота датчика.
На рисунке F.1 зеркальный отражатель находится слева (слабая вертикальная линия диффузных отражений от поверхности отражателя). Прямоугольники зеленого цвета показывают зоны, где вычислялись средние значения пикселей при приращении глубины по вертикали на 5 мм.

Рисунок F.1 - Усредненное изображение по 10 снимкам, полученным с помощью датчика с фазированной решеткой
Ось ординат - среднее значение пикселя; ось абсцисс - глубина по вертикали. Отрезками показаны величины стандартных отклонений значений пикселей для каждого пятимиллиметрового интервала глубины.

Рисунок F.2 - Графическое представление данных; синим цветом отмечены данные, рассчитанные для левого прямоугольника, красным - для правого прямоугольника на рисунке F.1
Ось ординат - среднее значение пикселя; ось абсцисс - глубина по вертикали. Отрезками показаны величины стандартных отклонений значений пикселей для каждого пятимиллиметрового интервала глубины.

Рисунок F.3 - Графическое представление данных в том случае, когда отражатель находится на правой стороне; синим цветом отмечены данные, рассчитанные для левого прямоугольника, красным - для правого прямоугольника
Процент, на который средние значения пикселей, полученных в результате отражения, отличаются от средних значений пикселей без учета отражения, когда асимметрия чувствительности датчика скорректирована, может быть выведен из данных, приведенных на рисунках F.2 и F.3, с помощью формулы (F.1)*. Результат показан на рисунке F.4.
──────────────────────────────
* Неточность в тексте документа IEC/TS 62791:2015: формулу (F.1) следует читать
.
,
(F.1)
где Ri и Ni - средние значения пикселей на сторонах с отражателем и без отражателя соответственно;
i = 1 соответствует отражателю на одной стороне, а i = 2 соответствует отражателю на другой стороне.

Асимметрия чувствительности датчика скорректирована с использованием данных, приведенных на рисунках F.2 и F.3, и формулы (F.1).
Ось ординат - разница, %; ось абсцисс - глубина по вертикали, см.
Рисунок F.4 - Процент, на который среднее значение пикселей, полученных в результате отражения, отличается от среднего значения пикселей без отражения
На рисунке F.4 рассматривается небольшая контрастность между средними значениями пикселя (с коррекцией на асимметрию чувствительности датчика) при наличии отражателя CMPVr и средними значениями пикселя (с коррекцией на асимметрию чувствительности датчика) при отсутствии отражателя CMPVo. Связь между CPMV и яркостью монитора μ авторам неизвестны. Консервативное предположение относительно такой связи состоит в том, что значение (CPMV)2 пропорционально μ; поэтому
10·log10(μr/μo)=20·log10(CMPVr/CMPVo),
где μr - средняя яркость пикселя при наличии отражателя;
μo - средняя яркость пикселя при отсутствии отражателя.
Согласно таблице 1 в [11], контрастность изображения равна контрастности объекта при 1 и 2 дБ, и очевидно, что если контрастность объекта составляет 0 дБ, то контрастность изображения и контрастность в точке со скорректированным средним значением пикселя составят 0 дБ (определения контрастности объекта и изображения см. на с. 119 и 120 [11]). Также согласно таблице 1 [11], если контрастность изображения составляет от 1 до минус 1 дБ, она становится не обнаружимой для наблюдателя-человека.
Согласно рисунку F.4 - 0, 22 дБ ≤20·log10 (CMPVr/CMPVo) ≈10·log10 (μr/μo) ≤ 0, 59 дБ, и контрастность не обнаруживается человеком-наблюдателем.
Рисунки F.5-F.7 соответствуют рисункам F.1-F.3, где используется конвексный датчик с радиусом кривизны 1 см, а отражатель изготовлен из алюминия. Угол сектора составляет приблизительно 153°. Полное внутреннее отражение отсутствует при углах сектора более 138°, что соответствует углам падения от 69° до 90°, подтверждение чему видно в верхней левой части изображения на рисунке F.5, удаленной от отражателя.

Полное внутреннее отражение отсутствует при углах сектора более 138°, что соответствует углам падения от 69° до 90°, что видно в верхней левой части изображения, удаленной от отражателя.
Рисунок F.5 - Широкий сектор (153°), конвексный датчик с радиусом кривизны 1 см с алюминиевым отражателем слева

Ось ординат - среднее значение пикселя; ось абсцисс - глубина по вертикали. Отрезками показаны величины стандартных отклонений значений пикселей для каждого пятимиллиметрового интервала глубины. Следует отметить, что для глубины по вертикали от 0 до 1 см полное внутреннее отражение отсутствует.
Рисунок F.6 - Графическое представление данных; синим цветом отмечены данные, рассчитанные для левого прямоугольника, красным - для правого прямоугольника на рисунке F.5

Для глубины по вертикали от 0 до 1 см полное внутреннее отражение отсутствует. Ось ординат - среднее значение пикселя; ось абсцисс - глубина по вертикали.
Рисунок F.7 - Графическое представление данных; отражатель размещен на правой стороне, синим цветом отмечены данные, рассчитанные для левого прямоугольника, красным - для правого прямоугольника
На рисунке F.8 показан процент, на который средние значения пикселей, полученных в результате отражения, отличаются от средних значений пикселей без учета отражения, когда асимметрия чувствительности датчика скорректирована; поправки взяты в соответствии с рисунками F.6 и F.7 согласно формуле (F.1).

Асимметрия чувствительности датчика скорректирована с использованием данных на рисунках F.6 и F.7 и формулы (F.1).
Оси ординат - разница, %; ось абсцисс - глубина по вертикали, см.
Рисунок F.8 - Процент, на который среднее значение пикселей, полученных в результате отражения, отличается от среднего значения пикселей без отражения
Ссылаясь на обсуждение рисунка F.4 выше и используя результаты, показанные на рисунке F.8, получаем: - 0, 63 дБ ≤20·log10 (CMPVr/CMPVo) ≈10·log10 (μr/μo)≤ 0, 17 дБ, и контрастность снова не различима для человеческого глаза.
Приложение G
(справочное)
Ниже приведены результаты для сравнения с результатами, представленными в приложении В и полученными с использованием фантома со слабоотражающими сферами диаметром 4 мм, но всего с одной такой сферой на миллилитр. Рисунок G.1 представляет собой изображение, полученное с помощью конвексного датчика, работающего на частоте 4, 2 МГц, с использованием фантома с двумя зеркальными отражателями из стекла. В данном фантоме имеются по две слабоотражающие сферы на миллилитр, а не одна. Достаточно хорошие результаты воспроизводимости показаны на рисунке G.2.

Рисунок G.1 - Пример изображения фантома, полученного с помощью конвексного датчика, работающего на частоте 4, 2 МГц, при двух слабоотражающих сферах на миллилитр
|
а Средние значения ОСШ (ОСШС) в зависимости от глубины |
b Число центров слабоотражающих сфер, выявленных в каждом пятимиллиметровом интервале глубины |
Среднее значение ОСШ по оси ординат на левом графике приведено в описании вычисления ОСШС в пояснениях, приведенных в 8.3.2.
Рисунок G.2 - Результаты оценки воспроизводимости, соответствующие набору изображений, одно из которых приведено на рисунке G.1
Приложение Н
(справочное)
Один фантом, изготовленный в июле 2011 г., имеет в среднем по одной слабоотражающей сфере диаметром 4 мм на миллилитр, а другой фантом, изготовленный в октябре 2012 г., содержит в среднем по две таких сферы на миллилитр. На рисунках Н.1 и Н.3 приведены примеры изображений фантомов из набора изображений, а на рисунках Н.2 и Н.4 - графическое представление значений ОСШС в зависимости от глубины и числа выявленных слабоотражающих сфер в каждом пятимиллиметровом интервале глубины. Параметры получения изображений аналогичны в случаях с концентрацией слабоотражающих сфер 1 и 2 мл-1 и соответствовали стандартному В-режиму сканирования без специальной обработки, например пространственного компаундинга или гармонической визуализации тканей. Фокус находился на расстоянии 4 см.

Рисунок Н.1 - Пример изображения из набора изображений, на основании которых получены результаты, приведенные на рисунке Н.2; фантом содержал в среднем по одной слабоотражающей сфере диаметром 4 мм на миллилитр
На рисунке Н.2 R2 - коэффициент детерминации. R2 = 0, если значения данных и подобранной кривой на соответствующих глубинах совершенно не коррелируют между собой, и R2 = 1, если два набора данных полностью коррелируют между собой [12].
|
а Средние значения ОСШ (ОСШС) в зависимости от глубины для фантома в среднем с одной слабоотражающей сферой диаметром 4 мм на миллилитр |
b Число центров слабоотражающих сфер, выявленных в каждом пятимиллиметровом интервале глубины |
Среднее значение ОСШ по оси ординат на левом графике приведено в описании вычисления ОСШС в пояснениях, приведенных в 8.3.2.
Рисунок Н.2 - Результаты, соответствующие набору изображений, одно из которых приведено на рисунке Н.1

Рисунок Н.3 - Пример изображения из набора данных, на основании которых получены результаты, приведенные на рисунке Н.4; фантом содержал в среднем по две слабоотражающие сферы диаметром 4 мм на миллилитр
|
а Средние значения ОСШ (ОСШС) в зависимости от глубины для фантома в среднем с одной слабоотражающей сферой диаметром 4 мм на миллилитр |
b Число центров слабоотражающих сфер, выявленных в каждом пятимиллиметровом интервале глубины |
Среднее значение ОСШ по оси ординат на левом графике приведено в описании вычисления ОСШС в пояснениях, приведенных в 8.3.2. R2 - коэффициент детерминации, определенный в тексте перед рисунком Н.2.
Рисунок Н.4 - Результаты, соответствующие набору изображений, одно из которых приведено на рисунке Н.3
Зависимость от концентрации с очевидностью подтверждается минимальным значением ОСШС приблизительно 6, 7 для фантома с концентрацией слабоотражающих сфер 1 мл-1 и приблизительно минус 6, 0 для фантома с концентрацией слабоотражающих сфер 2 мл-1. Число изображений, использовавшихся в случае с фантомом с концентрацией 1 мл-1 вдвое больше, чем в случае с фантомом с концентрацией 2 мл-1, что означает, что ожидаемое число слабоотражающих сфер в каждом объемном сегменте, ограниченном интервалом глубины, одинаково для каждого из них. Исходя из среднего числа сфер на миллилитр, при глубине 4 см рассматриваемый объем составляет приблизительно 45 мл для обоих фантомов. Следует отметить, что наблюдавшееся число сфер при глубине 4 см в случае с фантомом с концентрацией слабоотражающих сфер 1 мл-1 составляет 35, в случае с фантомом концентрацией слабоотражающих сфер 2 мл-1 - 28. Разница может быть отнесена на счет пар сфер, достаточно близких друг к другу, чтобы можно было считать их одной сферой с "центром масс" между центрами этих двух сфер, что приводит к менее отрицательному значению ОСШn, чем необходимо. Исследование такой зависимости от концентрации продолжается и может привести к изменению программного обеспечения с целью выявления таких пар сфер, поэтому их можно исключить из рассмотрения.
В приложении I приведен гораздо более контролируемый эксперимент по оценке зависимости значения ОСШС от концентрации слабоотражающих сфер с использованием трех фантомов, содержащих слабоотражающие сферы диаметром 3, 2 мм.
Приложение I
(справочное)
Изготовлены три фантома с плоскими окнами сканирования и средними концентрациями слабоотражающих сфер 1, 2 и 4 мл-1. Все сферы изготовлены единовременно. Приняты меры для того, чтобы обеспечить идентичность фоновых материалов во всех фантомах. Таким образом, разница между фантомами в результате влияния материалов должна отсутствовать.
Цифровые изображения всех трех фантомов были получены на идентичном оборудовании и с идентичными параметрами сканирования, включая параметры компенсации усиления по времени TGC. Параметры получения изображения были одинаковыми для фантомов с концентрацией сфер 1, 2 и 4 мл-1 и соответствовали параметрам стандартного В-режима сканирования без специальной обработки, например пространственного компаундинга или гармонической визуализации тканей. Фокус находился на расстоянии 9 см.
Результаты приведены на рисунках с I.1 по I.6. Для фантома с концентрацией сфер 1 мл-1 использовалось 280 изображений, для фантома с концентрацией сфер 2 мл-1 - 140 изображений и для фантома с концентрацией сфер 4 мл-1 - 75 изображений (результаты исследования для фантома, содержащего сферы диаметром 3, 2 мм и имеющего концентрацию сфер 2 мл-1, приведены на рисунках С.1-С.7.)
В отношении наиболее отрицательных подобранных значений ОСШС фантом с концентрацией сфер 4 мл-1 имеет минимум при минус 11, 3, фантом с концентрацией сфер 2 мл-1 - при минус 11, 6 и фантом с концентрацией сфер 1 мл-1 - при минус 12, 6. Таким образом, диапазон изменения наиболее отрицательных значений ОСШС составляет всего 11, 5 % при снижении концентрации слабоотражающих сфер на 1/4, что указывает на небольшую зависимость даже самых экстремальных значений ОСШС от концентрации сфер; поэтому разумно предположить, что концентрация сфер 2 мл-1 также даст приемлемую точность.
Следует также отметить, что был рассчитан коэффициент корреляции значений ОСШС для концентрации сфер 2 мл-1 (см. рисунок I.4) и соответствующих значений ОСШС для концентрации сфер 1 мл-1 (см. рисунок I.6), который составил 0, 985.

Рисунок I.1 - Пример изображения из набора данных по фантому с концентрацией сфер 4 мл-1, на основании которых получены результаты, приведенные на рисунке I.2
|
а Средние значения ОСШ (ОСШС) в зависимости от глубины для фантома в среднем с четырьмя слабоотражающими сферами диаметром 3, 2 мм на миллилитр |
b Число центров слабоотражающих сфер, выявленных в каждом пятимиллиметровом интервале глубины |
Среднее значение ОСШ по оси ординат на левом графике приведено в описании вычисления ОСШС в пояснениях, приведенных в 8.3.2. R2 - коэффициент детерминации, определенный в тексте над рисунком Н.2.
Рисунок I.2 - Результаты для фантома, содержащего четыре слабоотражающие сферы диаметром 3, 2 мм на миллилитр

Рисунок I.3 - Пример изображения из набора данных по фантому с концентрацией сфер 2 мл-1, на основании которых получены результаты, приведенные на рисунке I.4
|
а Средние значения ОСШ (ОСШС) в зависимости от глубины для фантома в среднем с двумя слабоотражающими сферами диаметром 3, 2 мм на миллилитр |
b Число центров слабоотражающих сфер, выявленных в каждом пятимиллиметровом интервале глубины |
Среднее значение ОСШ по оси ординат на левом графике приведено в описании вычисления ОСШС в пояснениях, приведенных в 8.3.2. R2 - коэффициент детерминации, определенный в тексте над рисунком Н.2.
Рисунок I.4 - Результаты для фантома, содержащего две слабоотражающие сферы диаметром 3, 2 мм на миллилитр

Рисунок I.5 - Пример изображения из набора данных по фантому с концентрацией сфер 1 мл-1, на основании которых получены результаты, приведенные на рисунке I.6
|
а Средние значения ОСШ (ОСШС) в зависимости от глубины для фантома в среднем с одной слабоотражающей сферой диаметром 3, 2 мм на миллилитр |
b Число центров слабоотражающих сфер, выявленных в каждом пятимиллиметровом интервале глубины |
Среднее значение ОСШ по оси ординат на левом графике приведено в описании вычисления ОСШС в пояснениях, приведенных в 8.3.2. R2 - коэффициент детерминации, определенный в тексте над рисунком Н.2.
Рисунок I.6 - Результаты для фантома, содержащего одну слабоотражающую сферу диаметром 3, 2 мм на миллилитр
Приложение J
(справочное)
Проведена оценка изображений, полученных при стандартном сканировании типа В с использованием двух разных коммерческих медицинских ультразвуковых диагностических систем с фокусным расстоянием 4 см и конвексными решетками практически с одинаковым углом сектора. Настройки панели управления также были аналогичными, за исключением небольшого различия в номинальной частоте. Рисунок J.1 иллюстрирует результаты для сканера системы А и датчика 7CF2 3D, работающего на частоте 4, 5 МГц в режиме 2D-сканирования, а рисунок J.2 - результаты для сканера системы В с датчиком 4DC7-3 3D, работающем на частоте 4 МГц в режиме 2D-сканирования. По всей видимости, система А значительно превосходит систему В.

Рисунок J.1 - Результаты для сканера системы А и датчика 7CF2 3D (качающаяся конвексная решетка) с фокусным расстоянием 4 см, работающего на частоте 4, 5 МГц в режиме 2D-сканирования

Рисунок J.2 - Результаты для сканера системы В и датчика 4DC7-3 3D (конвексная решетка) с фокусным расстоянием 4 см, работающего на частоте 4 МГц в режиме 2D-сканирования. Угол сектора и все другие настройки панели управления имитировали настройки системы А (рисунок J.1)
Учитывая, что чем более отрицательным является среднее значение ОСШ (ОСШС), тем выше вероятность обнаружения слабоотражающих сфер: ультразвуковая система А превосходит систему В на всех глубинах.
Кроме того, коэффициент обратного рассеяния материала, составляющего слабоотражающие сферы, составляет приблизительно минус 30 дБ относительно значения для материала, составляющего основу.
Все значения ОСШС будут увеличиваться (становиться менее отрицательными) при увеличении коэффициента обратного рассеяния материала, составляющего слабоотражающие сферы. Значение ОСШС, равное минус 2, считается порогом для выявления слабоотражающих сфер человеком-наблюдателем. Тогда увеличение коэффициента обратного рассеяния слабоотражающих сфер, необходимое для увеличения значения (-2 - (-7, 8) = 5, 8) для системы А на глубине 4 см, будет больше, чем увеличение коэффициента обратного рассеяния слабоотражающих сфер, необходимое для увеличения значения (-2 - (-5) = 3) для системы В на глубине 4 см. Следствием этого является то, что система А позволит обнаруживать слабоотражающие сферы, имеющие больший коэффициент обратного рассеяния, чем сферы, обнаруживаемые системой В.
Рассмотрим, например, опухоль с размерами более, чем диаметр слабоотражающей сферы D. Для диапазона значений (коэффициент обратного рассеяния опухоли)/(коэффициент обратного рассеяния фонового материала) опухоль будет определяться человеком-наблюдателем при использовании системы А, но не будет определяться при применении системы В. Кроме того, в тех случаях, когда опухоль является обнаружимой, ее границы будут очерчиваться с разрешением D.
Приложение К
(справочное)
К.1 3D-датчики, работающие в режиме формирования 2D-изображений
Для механических 3D-датчиков плоскость сканирования должна находиться в известном положении и иметь известную ориентацию относительно корпуса линейной или конвексной решетки таким образом, чтобы плоскость сканирования могла быть перпендикулярной к направлению перемещения (с приращениями D/4) датчика или фантома.
Для 2D-решеток [2] плоскость сканирования должна находиться в известном положении и иметь известную ориентацию относительно датчика таким образом, чтобы плоскость сканирования могла быть перпендикулярной к направлению перемещения (с приращениями D/4) датчика или фантома, в то время как поверхность датчика остается полностью акустически связанной с окном сканирования фантома.
К.2 2D-решетки, работающие в режиме формирования 3D-изображений для определения значений ОСШС в зависимости от глубины для восстановленных изображений
Вся излучающая поверхность датчика должна быть постоянно акустически связана с окном сканирования в ходе перемещений датчика или фантома на расстояние D/4, и в каждом положении должен быть записан полный набор 3D-данных. Затем могут быть проанализированы наборы восстановленных изображений с "плоскостями сканирования", перпендикулярными направлению перемещения и находящимися в одинаковом положении относительно датчика, с определением значений ОСШС в зависимости от глубины.
Примечание - Большой объем данных, которые необходимо хранить, может сделать эту методику неосуществимой.
К.3 Механические 3D-датчики, работающие в режиме формирования 3D-изображений
Маловероятно, что могут быть получены значения ОСШС в зависимости от глубины, поскольку маловероятно, что вся излучающая поверхности датчика будет постоянно акустически связана с окном сканирования при перемещениях датчика или фантома на расстояние D/4.
Приложение ДА
(справочное)
Таблица ДА.1
|
Обозначение ссылочного международного стандарта |
Степень соответствия |
Обозначение и наименование соответствующего национального стандарта |
|
IEC 60050-802:2011 |
- |
* |
|
IEC 61391-1:2006 |
IDT |
ГОСТ Р МЭК 61391-1-2011 "Оборудование медицинское ультразвуковое диагностическое. Часть 1. Общие требования к методикам калибровки систем измерения расстояний" |
|
IEC 61391-2:2010 |
IDT |
ГОСТ Р МЭК 61391-2-2012 "Государственная система обеспечения единства измерений. Оборудование медицинское ультразвуковое диагностическое. Общие требования к методикам измерения максимальной глубины зондирования и динамического диапазона" |
|
* Соответствующий национальный стандарт отсутствует. До его принятия рекомендуется использовать перевод на русский язык данного международного стандарта. Примечание - В настоящей таблице использовано следующее условное обозначение степени соответствия стандартов: - IDT - идентичные стандарты. | ||
Библиография
|
[1] |
Szabo TL. Diagnostic Ultrasound Imaging: Inside Out - Second Edition, Elsevier Academic Press, Burlington, Massachusets, USA, 2014 |
|
[2] |
Madsen EL, Zagzebski JA, Macdonald MC, Frank GR, Ultrasound focal lesion detectability phantoms, Med Phys, vol. 18, pp. 1171-1180 (1991) |
|
[3] |
Kofler JM Jr, Lindstrom MJ, Kelcz F, Madsen EL, Association of automated и human observer lesion detectability using phantoms, Ultrasound Med Biol, vol. 31, p. 351-359 (2005) |
|
[4] |
Madsen EL, Insana MF, Zagzebski JA, Method of data reduction for accurate determination of acoustic backscatter measurements, J Acoust Soc Am, vol. 76, p. 913-923 (1984) |
|
[5] |
Sigelmann RA, Reid JM, Analysis и measurement of ultrasound backscattering from an ensemble of scatterers excited by sine-wave bursts, J Acoust Soc Am, vol. 53, p. 1351-1355 (1973) |
|
[6] |
Morse PM, Feshbach H, Methods of theoretical physics, McGraw-Hill, New York, 1953, (see Chapter 9, p. 1066) |
|
[7] |
Madsen EL, Song С и Frank GR, Low-echo sphere phantoms and methods for assessing imaging performance of medical ultrasound scanners, Ultrasound Med Biol, vol. 40, p. 1697-1717 (2014) |
|
[8] |
Pianykh OS, Digital imaging и communications in medicine (DICOM): A practical introduction u survival guide, Springer, Berlin, 2012 |
|
[9] |
Kofler JM Jr, Madsen EL, Improved method for determining resolution zones in ultrasound phantoms with spherical simulated lesions, Ultrasound Med Biol, vol. 27, p. 1667-1676 (2001) |
|
[10] |
Madsen EL, Dong F, et al., Interlaboratory comparison of ultrasonic backscatter, attenuation, и speed measurements, J Ultrasound Med vol. 18, p. 615-631, 1999 (see pages 617 и 618 UW LMP section) |
|
[11] |
Hall TJ, Insana MF, Soller мм, и Harrison LA, "Ultrasound contrast detail analysis: A preliminary study in human observer performance", Med Phys vol. 20, pp 117-127 (1993) |
|
[12] |
Dawson В и Trapp RG, Basic & Clinical Biostatistics, 4th edition, McGraw-Hill, New York, 2004 |











































